1. Что такое компьютерная томография (КТ)? При обычной рентгенографии широкий пучок проходит через исследуемый объект и формирует изображение на рентгеновской пленке (детекторе). При КТ узкий прицельный пучок рентгеновских лучей направляется сквозь объект и улавливается несколькими рентгеновскими детекторами. Во время сканирования исследуются тонкие слои тела пациента. Этот процесс повторяют, производят серию последовательных измерений с последующей обработкой, позволяющей собрать все данные воедино и получить изображение поперечного среза. Изображение может быть выведено на экран или сфотографировано. Реконструированное двухмерное изображение создается с учетом коэффициентов линейного ослабления сигналов, полученных из различных проекций вокруг тела больного. 2. В каком году был создан компьютерный томограф? Гогфри Н. Хунсфилд (Gogfrey N. Hounsfield), "EMI Limited", в Англии создал первый компьютерный томограф в 1973 г. 3. Что такое единицы Хунсфилда (ЕХ)? ЕХ — это шкала относительной плотности, согласно которой значение -1000 соответствует воздуху, 0 — воде, +1000 — плотной кости. Плотность структуры пропорциональна ослаблению рентгеновского излучения при ее прохождении. Чем выше плотность, тем выше номер ЕХ. Например, несколько приблизительных значений: жировая ткань -90 ЕХ, мягкие ткани +40 ЕХ, сгустки крови +70 ЕХ. 4. Насколько толстым является срез при компьютерной томографии? При КТ чаще всего применяются последовательные срезы размером 1 см. Более тонкие срезы (0,5 см) используют для точного измерения небольших или неясных образований. 5. Каким должно быть положение пациента и какие методики применяются в ходе выполнения КТ брюшной полости или области таза? После 12-часового голодания пациента обычно
укладывают на спину и подготавливают кишечник. Перорально назначают контрастный
препарат для того, чтобы не спутать незатененные петли кишечника с объемными
образованиями в брюшной полости и забрюшинном пространстве. Мнения о необходимости
предварительного выполнения КТ без контрастирования противоречивы. Для
выявления объемных образований в почках, конкрементов в почках и в забрюшинном
пространстве, возможных затеков мочи или травматических повреждений КТ
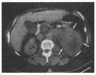
следует выполнить до и после внутривенного введения контрастного вещества.
6. В каких случаях КТ применяется в урологии? КТ используется для диагностики процессов, протекающих в почках, околопочечном и забрюшинном пространствах. Этот метод эффективен при выявлении осложнений, связанных с трансплантацией почки, при диагностике поражений надпочечников, для уточнения состояния ретроперитонеальных лимфоузлов и определения поражений легких у пациентов с раком яичка. Определенную роль КТ играет также при уточнении стадии рака мочевого пузыря и предстательной железы, равно как и при диагностике объемных образований таза. 7. В каких случаях КТ применяется для диагностики заболеваний почек и околопочечного пространства? КТ в основном применяется для диагностики и определения границ объемных образований почки. Это один из лучших методов для их выявления и дифференциальной диагностики тканевых и жидкостных образований. Кроме того, этот метод используется при диагностике и определении стадии злокачественных новообразований почки, а также в ходе наблюдения за пациентами, страдающими этими заболеваниями. КТ позволяет выявить воспалительные почечные, околопочечные и забрюшинные образования, а также определить их размеры. Это исследование — диагностический метод выбора для определения степени повреждения при травме почки. КТ является высокочувствительным методом в диагностике мочекаменной болезни. Обычно уратные конкременты не определяются на обзорной урограмме, однако они отчетливо видны при КТ (рис. 6-1.). 8. Можно ли использовать КТ для контроля в ходе выполнения лечебно-диагностических манипуляций? При КТ-контроле можно выполнять биопсию,
аспирацию, установку дренажей, в частности при заболеваниях почек. Обычно
при данных манипуляциях используется ультразвуковой контроль, так как при
этом они выполняются быстрее, кроме того, ультразвуковой аппарат является
более доступным видом оборудования. Тем не менее, в некоторых случаях операционный
доступ или сами исследуемые объекты имеют лучшее качество изображения при
КТ. Несмотря на то, что недиагностированный по обзорной урограмме гидронефроз
может быть выявлен при КТ, в этом случае также часто используется ультразвуковое
исследование, которое является более точным и менее дорогим методом. КТ
— менее чувствительный метод по сравнению с ультразвуковым при дифференциальной
диагностике жидкостных и тканевых образований. „~,
Рис. 6-1. КГ опухоли левой почки. 9. Эффективно ли применение КТ при определении стадии рака предстательной железы? Значение применения КТ для определения стадии рака предстательной железы невелико. Метастазы в тазовые лимфоузлы трудно поддаются визуализации. Различия между раком и нормальной тканью предстательной железы при небольших размерах поражений неотчетливы. Раковое образование можно определить только на далеко зашедших стадиях, при его прорастании за пределы предстательной железы в основание мочевого пузыря или семенные пузырьки. Для определения стадии рака предстательной железы при обычном обследовании применять КТ не следует. 10. В какую область урологии КТ вносит наиболее существенный вклад? Применение КТ вносит наиболее существенный
вклад в диагностику объемных образований почек. Она является методом выбора
при диагностике и определении стадии тканевых новообразований почки.
Избранная литература Bosniack M. A. Problems in the radiologic diagnosis of renal parenchyma! tumors. Urol. Chr. . North. Am., 20: 217-230,1993. Gillenwater J. Y., Grayhack J. Т., Howards S. S., Duckett J. W. (eds). Adult and Pediatm Urology, 2nd ed. Chicago, Year Book, 1991. Hounsfield G. N. Computed medical imaging. Med. Phys., 7: 283-290,1980. Miraldi F. Imaging principles in computed tomography. In: Haaga J. R., Alfide R. J., eds Computed Tomography of the Whole Body. St. Louis, Mosby, 1983. Walsh P. C., Retik А. В., Stamey T. A.,
Vaughan E. D. Jr., eds. Campbell's Urology, 6th ed Philadelphia, W. B.
Saunders, 1992..
Поделитесь этой записью или добавьте в закладки |
Главная